PERIANAL CANCERS – MULTIMODALITY TREATMENT
The anal canal and perianal region are subject to a diverse group of diseases. The anatomy of this region was covered in part I of this series and malignant precursors were discussed. Part II will examine perianal cancers. Part III will examine squamous cancers of the anal canal. Part IV will look at unusual cancers of the anal canal.
PERIANAL SQUAMOUS CELL CARCINOMA
Squamous cell carcinomas of the perianal area are five times more rare than their anal canal counterparts. They are similar to other skin-based squamous cell cancers. They may be located anywhere on the perianal skin, which begins at the anal verge and extends up to five cm outward. Males and females are almost equally affected with an average age at presentation of between sixty and seventy years. Symptoms may be similar to those of other benign perianal conditions, often lulling the patient or physician into false sense of complacency. Misdiagnosis is common and one third of patients are incorrectly diagnosed at their initial visit to a physician. A late stage presentation with a large tumor is not uncommon even though a mass, bleeding, pain, discharge or pruritus should have alerted the patient or physician to a problem at a much earlier time.1 Even large perianal squamous cancers are often diagnosed twenty four months after the first appearance of symptoms. However, diagnostic delay does not seem to worsen the prognosis,3 underscoring the slow growing nature of these tumors. When delay is associated with nodal involvement, cure rates are poor.

These tumors are commonly keratinized and well differentiated, similar to typical skin cancers. Lymphatic spread to the inguinal and femoral nodes may occur, but usually only in larger lesions. (Figure 1). Further spread occurs via the iliac nodal system.
As was discussed in Part I of this series, certain genotypes of HPV are strongly associated with anal canal squamous cancers, especially those cancers proximal to the dentate line where the mucosa is commonly non-keratinized. In these cancers, HPV is thought to play a prominent role in causation. However, perianal squamous cancers are located in keratinized skin and less often have associated HPV. The etiology of perianal squamous cell cancers may be different from those found in the anal canal.
WHAT DO THEY LOOK LIKE AND HOW ARE THEY DIAGNOSED?
Not all perianal skin lesions are malignant. Symptoms of a short duration, symmetrical rashes and local irritations that resolve with topical therapy are usually secondary to a benign condition. Once the condition has resolved, patients should be followed to ensure that resolution has been maintained. However, persistent or recurrent symptoms call for further attention and biopsy.

When clinical suspicion prompts investigation, diagnosis is usually straightforward. A visual examination may be telling. The tumor appears as a central ulcer with rolled, everted edges (Figure 2). It may be small, less than 1 cm in size, or may be large, obstructing the anal opening. A digital exam will yield information about the lesion, its size and the possible presence of tumor fixation to underlying structures. Any non-healing ulceration should be considered malignant and biopsied. Although a biopsy can be performed in the office setting, patient comfort and diagnostic precision are enhanced when patients are examined under anesthesia. It is important to differentiate anal canal lesions from perianal lesions as prognosis and treatment programs may differ. The location of the tumor relative to the anal verge should be noted at the time of biopsy. A pelvic exam should be performed in women to search for vaginal invasion or associated genital lesions. Patients must be examined for involved lymph nodes, with careful evaluation of the inguinal nodal system. Suspicious nodes may be evaluated with a fine needle aspiration. A chest X-ray should be performed looking for metastatic disease. Chest CT scanning can be performed if the chest X-ray is worrisome for the spread of disease. Although perianal squamous carcinoma is not specifically associated with other colon cancers, a colon evaluation should be performed in patients who would otherwise have an examination under the present screening guidelines.
CT scanning or MRI evaluation of the abdomen and pelvis are recommended to search for liver involvement and possible nodal disease. A caveat: scanning may be unreliable when evaluating nodal systems, due to the limitations of the technology when examining small lymph nodes, or the inability of the technology to differentiate nodes with metastatic disease from nodes with reactive hyperplasia. FDG-PET scanning, which looks at the fluorine-18 fluorodeoxyglucose (FDG) metabolic uptake of tissue, may have promise in identifying metastatic disease, especially when FDG-PET scanning is combined with CT scanning (PET/CT). Endoanal ultrasound, while useful in evaluating fistulous disease and rectal malignancies, has an ill-defined role in the evaluation of perianal cancers. It may be useful in evaluating potential sphincter involvement by a locally invasive lesion.
TNM. THE 2010 AJCC STAGING SYSTEM.

The American Joint Committee on Cancer TNM staging system for anal cancers is used for staging the disease. (Table)
The T-stage of an anal cancer refers to the size of the lesion in its greatest dimension. T1 tumors are 2 cm or less in size. T2 tumors are greater than 2 cm but less than 5 cm in size. T3 lesions measure greater than 5 cm in size, and T4 tumors are of any size with invasion into adjacent extradermal tissues such as cartilage, skeletal muscle or bone. With respect to nodal status, the TNM system recognizes the absence or presence of regional nodes, with N0 representing the absence of involved nodes, and N1 representing the presence of involved nodes. The system is similar with respect to metastatic disease, with M1 referencing the presence of distant metastatic disease.
The two most important factors affecting survival and predicting prognosis are the diameter of the lesion and the absence or presence of involved lymph nodes. These both are reflected in the TNM system. Survival rates worsen significantly as the tumor diameter increases. In the 1992 study by Papillon, 17.5% of patients presented with T1 lesions and had 100% survival. 66.6% of patients presented with T2 lesions and had a survival rate of 61%, and 15.8% of patients presented with T3 lesions, with a survival rate of 12.5%2.
The incidence of nodal involvement also increases with increasing tumor size. With nodal metastases, survival rates again decrease. In the same study, 26% of patients had inguinal nodal metastases at the time of presentation. Nodal metastases were never seen with primary tumors less than 2 cm in size (T1). In T2 tumors between 2 and 5 cm in size, nodes were involved in 23% of cases, and in tumors greater than 5 cm in size (T3), nodes were involved in 67% of cases.2 Other important tumor factors potentially affecting survival are the depth of the tumor, specifically the possible presence of sphincter involvement, the degree of tumor differentiation, and the location of the primary tumor.
Although controversy exists regarding certain treatment aspects, it is well accepted that later stage disease is associated with a poor response to operative intervention, and is treated best with radiation or chemoradiation.2, , Again, tumor size and nodal status are instrumental in determining the disease stage.
TREATMENT OPTIONS:
Historically, wide local excision or abdominoperineal resection (APR) were used to treat perianal cancers. Failure rates were found to be high except in a small, select group of patients with early lesions. Present day treatment options have evolved considerably and are tailored to the specifics of the individual stage of the disease.
Currently, available options for eradicating disease are radiation therapy, with or without chemotherapy, or surgical excision in select cases. While radiation therapy, with or without chemotherapy is the commonest form of treatment, surgical excision is appropriate and effective in a small group of perianal cancers. The use of APR for initial tumor treatment is now of historical interest as local recurrence rates were found to range between 27% to 47% and five year survival rates ranged from 40% to 70%6, APR is reserved for those with patients with persistent or recurrent disease. APR may also be used in those infrequent patients with sphincter involvement and incontinence, in those with particularly bulky disease, or in those who have failed initial non-surgical treatment.
CARCINOMA IN SITU OR T1 DISEASE: T1 N0
Treatment commonly depends on the experience and judgment of the treating physician(s).
Cure rates approach 100% using wide local excision (WLE) when treating carcinoma in situ or T1 lesions. Lesions must not involve the anal sphincter to a substantial degree, and should be excisable with a 1 cm margin of normal tissue. 1, , The surgical option is an attractive one as radiation therapy is not without associated morbidity, including anal skin irritation, variable degrees of incontinence, proctitis and bleeding. Chemotherapy is associated with well-known systemic side effects.
There are patients who cannot or will not undergo surgical extirpation. Or, it may not be possible to obtain the necessary 1 cm margin of normal tissue around the tumor without disfigurement or dysfunction. Radiation therapy is the treatment of choice in these situations.
Radiation treatment of anal cancers has been used since the close of WW I. , The success of this modality was offset by the severe complications suffered as a result of the irradiation. The surgical option then became the preferred mode of treatment of anal cancers. Radiation therapy experienced a resurgence in use as better equipment and administration techniques became available. Its use in treating anal canal cancers increased in the1970’s. The renewed use of radiation in the treatment of perianal cancers followed shortly thereafter.
Chemoradiation of anal canal tumors was introduced by Norman Nigro in 1972. Subsequent to this, many physicians began using chemoradiation to treat perianal squamous cancers as well. Although not completely substantiated, it appears that chemoradiation is superior in many aspects when compared with radiation alone in the treatment of perianal squamous carcinomas. Five year survival rates approach 100%, similar to those rates seen with surgical extirpation. 2, 6, , The chemotherapeutic drugs used in treatment are 5-FU, a well known pyrimidine analogue whose metabolites are cytotoxic when incorporated into DNA and RNA, and Mitomycin C (MMC). MMC is an alkylating agent which binds to DNA and inhibits DNA synthesis. It is a radiosensitizer which is thought to target radiation-resistant hypoxic cells, rendering them more vulnerable to the effects of the radiation.
INGUINAL NODAL PROPHYLAXIS IN EARLY LESIONS:
For the most part, superficial T1 tumors do not spread to the inguinal nodal basins. Persistent disease after treatment or recurrent disease is also rare. T1 lesions are almost never associated with lymph node disease,2 allowing for the following conclusions: First, prophylactic surgical lymphadenectomy, a procedure associated with potential and significant morbidity in the form of lymphedema, is not needed or recommended in conjunction with wide local excision, unless the disease is associated with biopsy proven nodal involvement, and even then, the disease may be treated with inguinal radiation rather than operative excision. Biopsies should be performed to differentiate lymph node metastases from nodal reactive hyperplasia. Second, routine prophylactic inguinal node irradiation, also associated with the potential for morbidity in the form of lymphedema, is not needed or recommended in conjunction with curative perineal radiation or chemoradiation unless the disease is associated with biopsy proven nodal metastases.1, 8, 9 It should be noted that the treatment of clinically uninvolved inguinal regions is not standardized between institutions and many clinicians do administer prophylactic radiation to these areas.
LARGER LESIONS: T2, T3, T4 and N1
Treatment of early T2 lesions may be by wide local excision or radiation therapy.9 Radiation is administered through perineal portals. However many institutions add inguinal irradiation as even small T2 lesions may be associated with inguinal disease.2 The definition of an “early” T2 lesion is subjective and there is a risk of missed, untreated inguinal lymph nodes with only wide local excision of early T2 tumors. Radiation of the perineal and inguinal fields as the initial mode of treatment may be the more prudent alternative.
Larger T2 cancers and T3 and T4 cancers are usually treated with chemoradiation. Operative intervention is reserved for salvage of persistent or recurrent disease, for patients with large, bulky tumors, or for those patients unable or unwilling to undergo chemoradiation. With these more ominous tumors, prognosis worsens as survival rates decrease.
INGUINAL NODAL PROPHYLAXIS IN LARGER LESIONS:
While the incidence of lymph node involvement for T1 tumors approaches 0%, the incidence of nodal disease rises to 23% in T2 lesions and 67% in T3 lesions,2 necessitating the addition of nodal irradiation. Both the perineal and inguinal fields are treated in T2 disease.2, 7 With the larger T3 and T4 lesions, pelvic irradiation is added.2, 9, ,
Local control rates are variable with radiation therapy alone. The literature reports widely differing results and often is not clear as to how patients are stratified, as many studies report results of treatment mixing patients receiving radiation alone with patients receiving chemoradiation. Local control rates range between 60% to 100% for T2 lesions and 37% to 100% in T3 lesions.2, 7, 15, 16, 18 Fifty percent of irradiated patients with persistent tumor after treatment may be salvaged with further operative treatment or a radiation boost, thus raising the overall success rates of treatment.10
The overall 5 year survival rates range between 40% and 100% with survival rates decreasing with increasing tumor size (T-stage) or with the presence of nodal disease (N1).6, 9 Again, caution must be used when comparing treatment results based on differing treatment modalities.
There is data showing that chemoradiation is superior to radiation alone with respect to local control rates.16 Additional data comes from a study comparing radiation alone versus chemoradiation in the treatment of squamous cell cancers of the anal canal and anal margin. In this UKCCCR study, chemoradiation was found to be superior to radiation alone in local control rates. However, there was no improvement in overall survival. The authors noted that adding chemotherapy to the radiation treatment “increased immediate morbidity but did not add materially to long-term problems” and suggested that adding 5-FU and Mitomycin C to radiation therapy should be the standard treatment protocol for perianal cancers.
Long-term follow up is necessary in these patients as recurrences can occur as late as 11 years after the initial treatment. Patients must be educated as to the warning signs of a recurrence. Symptoms of recurrence are indolent and patients may complain of seemingly benign perineal discomfort, a lump, bleeding or soiling.
While post-treatment scar excision looking for persistent disease is not uncommonly performed for anal canal cancers, post-treatment scar excision may also be performed for post-treatment perianal cancers if the scar looks atypical or suspicious for persistent or recurrent disease.
Patients with persistent disease who were originally treated with radiation or chemoradiation may be salvaged with wide local excision or an APR with a 50% salvage rate. Patients with recurrence after a disease-free interval also may be treated with attempted surgical salvage.19
CHEMORADIATION. A TOXIC CURE.
With radiation doses greater than 40 Gy, the complication rate increases. Complications may be systemic, such as dermatitis, mucositis, diarrhea, fatigue or bone marrow depression. Death is rare. Local complications include cystitis, small bowel obstruction and iliac artery stenosis. Anorectal function is commonly preserved in up to 90% of patients, but there may be associated anorectal irritability with tenesmus, proctitis, diarrhea, bleeding, urgency and incontinence. Most of these can be controlled with medication, but a proximal ostomy may become necessary. Far from causing further disability, an ostomy may be a welcome relief from symptoms caused by disease treatment.
Anemia, neutropenia or thrombocytopenia may occur in up to 64% of patients receiving MMC. This is more pronounced in those receiving high doses of MMC (greater than 50mg/m2).
In a phase II trial evaluating chemoradiation in perianal squamous cancers, oral capecitabine was substituted for 5-FU. This decreased infusion needs and decreased hospital stays. Toxicity was found to be minimal and the regimen was well tolerated. Local control rates were found to be 70%.
SUMMARY OF INITIAL TREATMENT OPTIONS IN CARCINOMA IN SITU OR T1 LESIONS:
In patients with carcinoma in situ or T1 lesions, treatment may be initiated with either operative excision or chemoradiation. To be eligible for the surgical approach, the lesion must not involve the anal sphincter to a substantial degree, and a one cm margin of normal tissue should be obtained. In the case where the anal sphincter is involved with disease, treatment with chemoradiation is associated with less anal dysfunction. Inguinal nodal basins need not be irradiated unless associated with biopsy-proven metastatic disease, or unless metachronous disease develops. However, many clinicians do routinely administer prophylactic radiation to clinically normal inguinal regions.
SUMMARY OF INITIAL TREATMENT OPTIONS IN T2, T3 AND T4 LESIONS:
In patients with T2, T3 and T4 lesions, chemoradiation is the primary mode of treatment. Radiation is directed at the perineal and inguinal fields in T2 lesions. Radiation is directed toward the perineal, inguinal and pelvic basins in T3 and T4 tumors.
Persistent or recurrent disease is treated with surgical salvage.
A FINAL NOTE REGARDING TREATMENT
Active research is ongoing in an effort to further improve survival rates and decrease toxicity rates associated with treatment. For now, physicians should rely upon one of the known treatment regimens administered by those with experience in this area. Long-term close follow-up is critically important.
PAGET’S DISEASE

Perianal Paget’s disease is thought to be a neoplasm arising from the apocrine glands of the perianal skin. Unlike its mammary counterpart, perianal Paget’s disease may begin as a benign condition in the apocrine glands, and later transform into an invasive adenocarcinoma, spreading into the epidermis. Another theory holds that the disease begins as an intraepithelial adenocarcinoma with a lengthy preinvasive phase, which subsequently spreads to the deeper dermis.17,
Paget’s disease is exceedingly rare, with less than 200 reported cases. It affects people in the seventh decade of life and affects men and women equally.
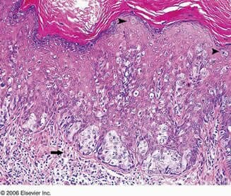
Pruritus is a common presenting symptom, enlarging the differential diagnosis greatly. Other presenting symptoms include an erythematous perianal skin rash with eczema, oozing or scaling, weight loss, inguinal adenopathy or constipation. The diagnosis is often delayed because of the tumor’s similarity to many other benign anal skin conditions and because of physician unfamiliarity with the disease. The presenting lesion may be circumferential and extend proximally to the dentate line (Figure 3). The average duration of symptoms prior to diagnosis is 3 years. Anal Paget’s disease may present in up to 40% of cases with an associated invasive adenocarcinoma.23 25

A thorough anorectal examination must be performed looking for an associated carcinoma requiring more extensive treatment. A full colon evaluation and a search for visceral carcinomatosis are conducted. Visceral spread occurs in up to 50% of cases 22 24 Common sites of spread include the GI tract, prostate, neck and nasopharynx.23 25 26 27
A biopsy of the affected area will confirm the diagnosis. H and E staining will differentiate Paget’s disease from the similar appearing AIN and will show large, rounded cells, a large peripheral nucleus and abundant cytoplasm (Figure 4). Staining with CK7 and CK20 will differentiate Paget’s disease from anorectal adenocarcinoma.
TREATMENT OPTONS FOR PAGET’S DISEASE:

For patients who do not have an invasive cancer, a wide local excision is the treatment of choice. Small lesions are excised and left open, or closed primarily, while large defects are covered with a rotational flap, advancement flap or split thickness skin graft. Pre-operatively, dermatologic punch biopsies can be used to plan wide local excision margins. Once the excision is completed, intra-operative frozen sections are obtained to ensure adequate excisional margins.22 Positive margins require further excision or a return to the operating room for re-excision if intraoperative frozen sections were not utilized.24 The intraoperative biopsies must be taken 1 cm from the obvious edges of the tumor and in all four perineal quadrants, and must include both the outer skin margins and inner, anal canal margins to the dentate line (Figure 5) . If the margins are found to be clear on frozen section, a skin graft is utilized to cover the excision site.
With a non-invasive tumor, survival may approach 100%.29
Patients must be followed over a long period of time looking for local recurrence or invasive disease amenable to retreatment. Recurrence rates are reported ranging from 37% to 100%23 28 29 and most recurrences can be treated with wide excision. The development of invasive disease is associated with a poor prognosis.
Patients initially presenting with invasive disease may be candidates for an APR with an added inguinal lymphadenectomy if documented nodal disease is present. However, at the time of presentation, these patients have a 25% incidence of metastatic spread and all patients who die of anal Paget’s disease have an invasive component.23 This does not rule out aggressive treatment of patients with invasive disease, nor does it mean that all patients with invasive disease require an APR. In one study, 12 patients had invasive disease and yet only 2 patients died of the disease. In this same study however, 4 of five patients who had invasive disease and who underwent an APR were free of disease. Clearly, judgment is required.23
At present, the role of chemoradiation or perineal radiation therapy is unclear. However, chemoradiation may have a role in those patients unwilling or unable to undergo surgical excision.23
BASAL CELL CARCINOMA
Even rarer is the perianal basal cell carcinoma. Occurring in the seventh and eight decades of life, more commonly in men than women, the lesion looks like other cutaneous basal cell cancers with raised, rolled edges and a central ulceration. They rarely metastasize. The etiology of basal cell carcinoma is unknown. They do not contain HPV. Up to one-third have a history of a basal cell cancer at another bodily location. Lesions are usually smaller than 2 cm. They may also present as papules, plaques, nodules or ulcers. They are superficial and mobile making wide excision straightforward. As they are of a low invasive potential, treatment is gratifying. However, recurrence is not uncommon and a re-excision is the mainstay of treatment. APR or radiotherapy may be used for large lesions with anal canal extension, although this situation occurs rarely. In several series, no patient died of the disease after treatment. Five year survival with adequate excision or re-excision if necessary is 100%.
VERRUCOUS CARCINOMA

Associated with HPV-6 and 11, verrucous carcinoma or Buschke-Lowenstein tumor is a huge, soft, fleshy cauliflower-like cancer that is painful and slow growing (Figure 6). It affects men almost three times more often then women in the fifth decade of life. Symptoms include pain, abscesses, pruritus, bleeding, a malodorous smell and altered bowel habits. Located on the perianal skin or in the distal anal canal or rectum, these lesions are relentless in their growth. Although benign when viewed under the microscope, they must be considered malignant in their behavior, with the potential for local erosion, invasion into the ischioanal fossa and perirectal tissue. CT scanning will define the extent of invasion. Microscopically, verrucous carcinoma looks like condyloma acuminata. It does not metastasize21 33
Wide local excision is the treatment of choice, with APR performed in unusual cases of late-stage disease with sphincter invasion. Radical excision may be necessary in order to achieve a cure. Reports of radiotherapy, imiquimod treatment and CO2 laser treatment are available, but wide excision with postoperative vigilance looking for recurrences is the mainstay of therapy.
Moving in the proximal direction, the next review will focus on squamous cell carcinoma of the anal canal.
Citations
- Beahrs, Oliver H., Wilson, S. M., “Carcinoma of the Anus.” Annals of Surgery 1984. (1976): 422-428.
- Papillon, J., Chassard, J. L., “Respective Roles of Radiotherapy and Surgery in the Management of Epidermoid Carcinoma of the Anal Margin.” Diseases of the Colon and Rectum 35 (1992): 422-429.
- Jensen, S. L., Hagen, K., Shokouh-Amiri, M. H., Nielson, O. V., “Does an Erroneous Diagnosis of Squamous-cell Carcinoma of the Anal Canal and Anal Margin at First Physician Visit Influence Prognosis?” Diseases of the Colon and Rectum 30 (1987): 345-351.
- Moller, C., Saksella, E., “Cancer of the Anus and Anal Canal.” Acta Chir Scand 136 (1970): 340-348.
- “Cancer Staging Manual.” (2009): American Joint Committee on Cancer. Seventh Edition.
- Fuchshuber, P. R., Rodriguez-Biagas, M., Buffat, L., Peorelli, N. J., “Anal Canal and Perianal Epidermoid Cancers. Collective Review.” Journal of the American College of Surgeons 185 (1997): 494-505.
- Touboul, E. “Epidermoid Carcinoma of the Anal Margin: 17 Cases Treated with Curative-intent Radiation Therapy.” Radiotherapy and Oncology 34.3 (1995): 195-202.
- Schraut, Wolfgang H., Wang, C. H., Dawson, P. J., Block. G. E., “Depth of Invasion, Location, and Size of Cancer of the Anus Dictate Operative Treatment.” Cancer 51.7 (1983): 1291-1296.
- Newlin, H.E., Zlotecki, R. A., Morris, C. G., Hochwald, S. N., Riggs, C. E., Mendenhall, W. M., Journal of Surgical Oncology, 2004;86:55-62
- . S. L., Hagen, K., Harling, H., Shokouh-Amiri, M.H., Nielson, O. V., “Long term Prognosis after Radical Treatment for Squamous-cell Carcinoma of the Anal Canal and Anal Margin.” Diseases of the Colon and Rectum 31 (1988): 273-278.
- Gordon-Watson, C. “The Radium Treatment of Malignant Disease of the Rectum and Anus.” Proc R Soc Med 28 (1935): 53-59.
- Gabriel, W. B. “Squamous-Cell Carcinoma of Anus and Anal Canal: Analysis of 55 Cases.” Proc R Soc Med 34 (1941): 139-57.
- Nigro, N. D., Vaitevigus, M. D., Considine, B., “Combined Therapy for Cancer of the Anal Canal: a Preliminary Report.” Diseases of the Colon and Rectum 13; 1974: 354-356.
- Cummings, B. J. “Editorial.” Oncology 10 (1996): 1853-1854.
- Peiffert, D., Bey, P., Pernot, M., “Conservative Treatment by Irradiation of Epidermoid Carcinomas of the Anal Margin.” J Radiat Oncol Biol Phys 39 (1997): 57-66.
- Cummings, B. J., Keane, T. J., Hawkins, N. V., O’Sullivan, B., “Treatment of Perianal Carcinoma by Radiation (RT) or Radiation plus Chemotherapy (rtct).” International Journal of Radiation Oncology and Biological Physics 12 (1986): 170-173.
- Skibber, J., Rodriguez-Bigas, M., Gordon, P., “Surgical Considerations in Anal Cancer.” Surgical Oncology Clinics of North America 13 (2004): 321-338.
- Mendenhall, W. M., Zlotecki, R. A., Vauthey, J. N., Copeland, E. M., “Squamous Cell Carcinoma of the Anal Margin.” Oncology 10 (1996): 1843-1854
- UKCCCR. Epidermoid Anal Cancer: Results From The UKCCCR Randomized Trial of Radiotherapy Alone Versus Radiotherapy, 5-Fluorouracil, and Mitomycin C. UKCCCR Anal Cancer Trial Working Party. UK Coordinating Committee on Cancer Research. Lancet 1996;348:1049-1054.
- Glynne-Jones, R., H. Meadows, S. Wan, et al. “National Cancer Research Institute Anal Subgroup and Colorectal Clinical Oncology Group EXTRA- a Multicenter Phase II Study of Chemoradiation Using a 5 Day per Week Oral Regimen of Capecitabine and Intravenous Mitomycin C in Anal Cancer.” Int J Radiat Oncol Biol Phys 72(1) (2008): 119-126.
- Gordon, Philip H., and Nivatvongs, Santhat. “Perianal Neoplasms.” Principles and Practice of Surgery for the Colon, Rectum, and Anus”. Page 376.New York: Informa Healthcare, 2007.
- Billingsley, K. G., Stern, L. E., Lowy, A. M., Kalenberg, and Thomas, C. R.., “Uncommon Anal Canal Neoplasms”. Surg Oncol Clin North America 13 (2004): 375-88
- McCarter, M. D., Quan, S. H., Busam, K., Paty, P. P., Wong, D., and Guillem, J. G., “Long-term Outcome of Perianal Paget’s Disease.” Diseases of the Colon and Rectum 46 (2003): 612-616.
- Beck, D. E. “Paget’s Disease and Bowen’s Disease of the Anus.” Seminars in Colon and Rectal Surgery 6 (1995): 143-149.
- Jensen, S. L., Sjolin, K. E., Shokouh-Amiri, M. H., Hagen, K., Harling, H. “Paget’s Disease of the Anal Margin.” British Journal of Surgery 75 (1988): 1089-1092.
- Berardi, R. S., Lee, S., Chen H. P, “Perianal Extramammary Paget’s Disease.” Surgery Gynecology and Obstetrics 167 (1988): 359-66.
- Tulchinsky, H., Zmora, O., Brazowski, E., Goldman, G., Rabau, M., “Extramammary Paget’s Disease of the Perianal Region.” Colorectal Disease 6 (2004): 206-09.
- Sarmiento, J. M., Wolff, B. G., Burgart, L. J., Frizelle, F. A., Ilstrup, D. M.,. “Paget’s Disease of the Perianal Region: An Aggressive Disease?” Diseases of the Colon and Rectum 40 (1997): 1187-194.
- Beck, D. E., Fazio, V. W., Paget’s disease. Diseases of the Colon and Rectum 1987; 30: 263-266
- Brown, R. “Radiotherapy for Perianal Paget’s Disease.” Clinical Oncology 14 (2002): 272-284.
- Gibson, G. E., and Ahmed, I.., “Perianal and Genital Basal Cell Carcinoma: a Clinicopathologic Review of 51 Cases.” Journal of the Academy of Dermatology 45 (2001): 68-71.
- Nielsen, O. V., Jensen, S. L., “Basal Cell Carcinoma of the Anus-a Clinical Study of 34 Cases.” British Journal of Surgery 68 (1981): 856-57.
- Wolff, B. G., Fleshman, J. W., Beck, D. F., Pemberton, J. H., Wexner, S. D. “The ASCRS Textbook of Colon and Rectal Surgery” . Springer Science+Business Media, LLC, 2007
- Patterson, C. A., Young-Fadok, T. M., Dozois, R. R., “Basal Cell Carcinoma of the Perianal Region: 20-Year Experience.” Diseases of the Colon and Rectum 42 (1999): 1200-1202.